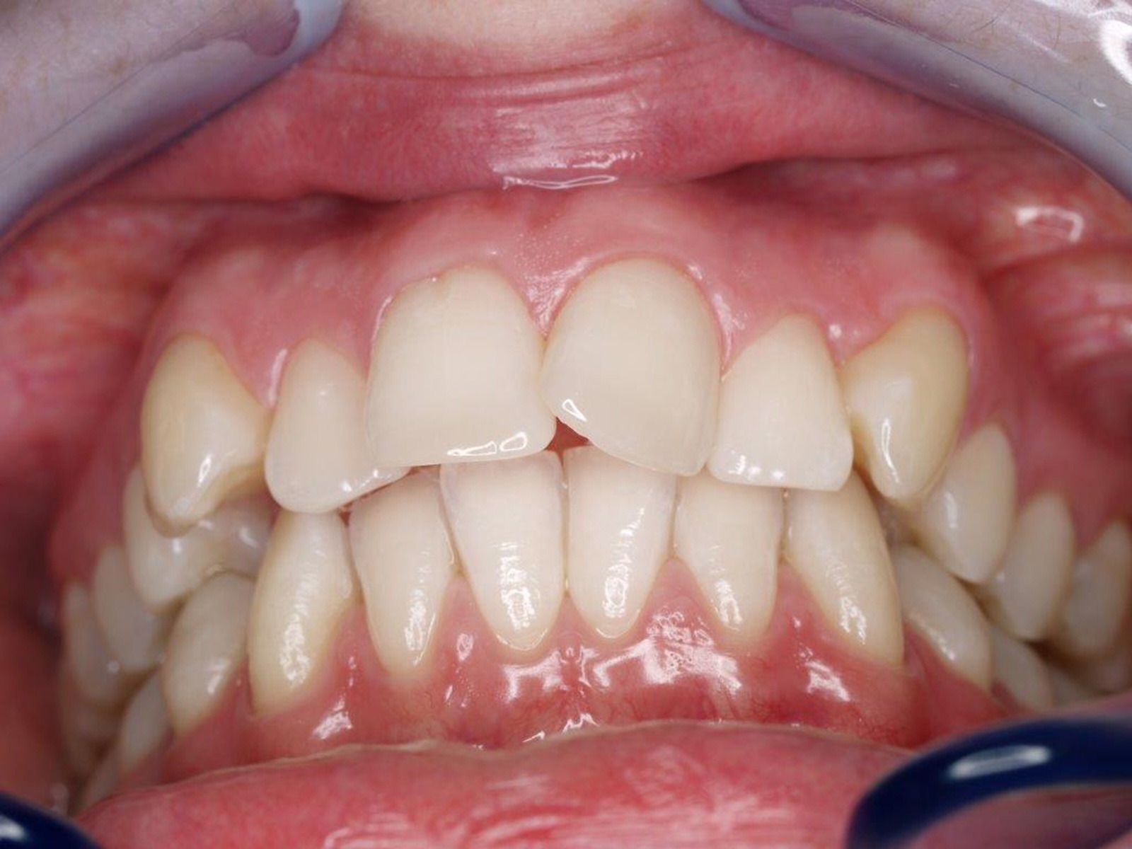
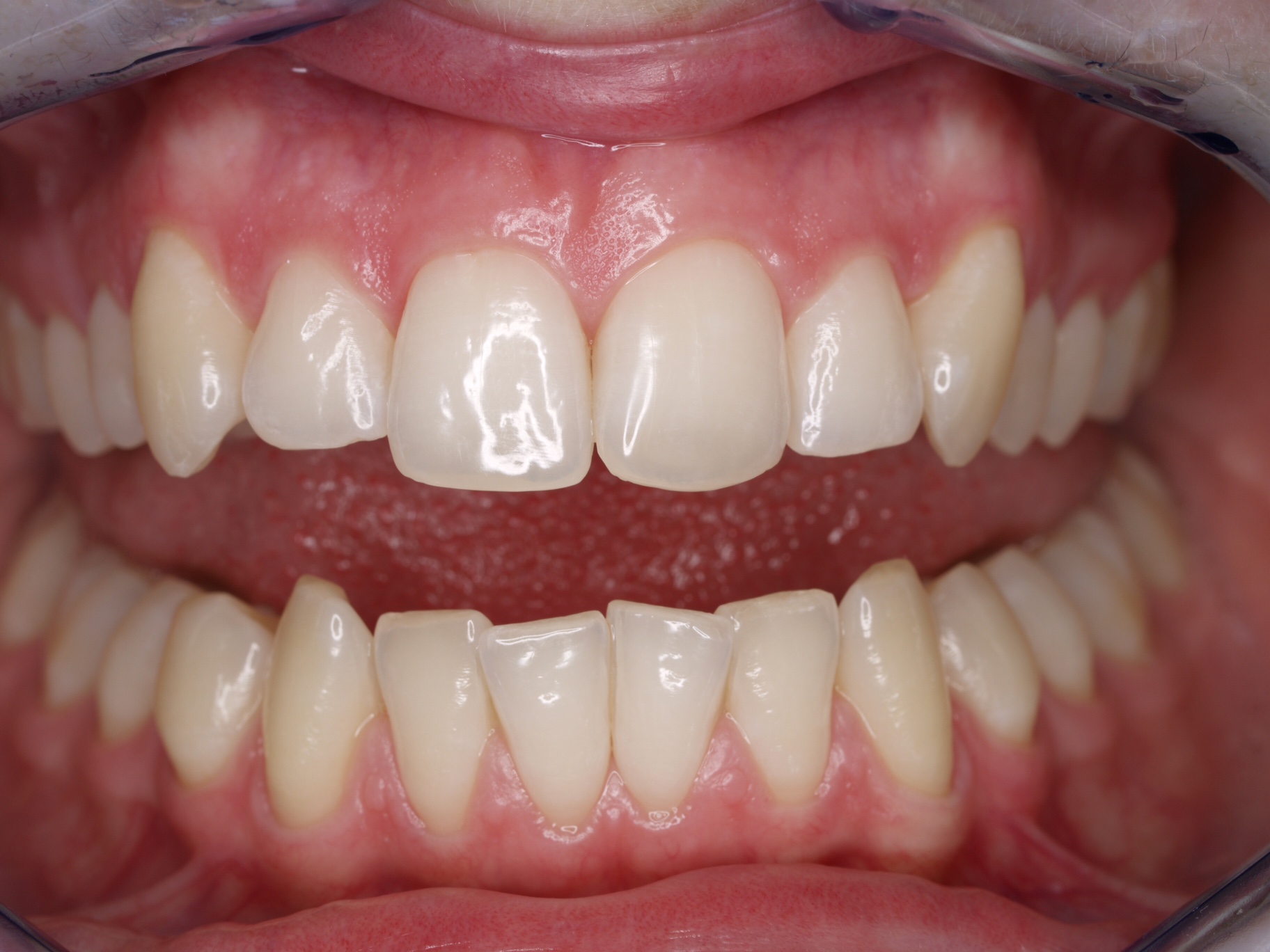
Schöne, gerade Zähne wünschen sich immer mehr Menschen. Kein Wunder, schließlich gibt es kaum etwas Attraktiveres als ein herzhaftes Lachen mit hervorblitzenden geraden Zähnen. Viele Erwachsene sind jedoch nicht glücklich mit ihren Zähnen. Wenn es auch Ihnen so geht und Sie sich mit Zahnlücken, schiefen oder gedrehten Zähnen nicht abfinden wollen, dann haben wir für Sie die passende Lösung: Die Schienentherapie mit der HarmonieSchiene von Orthos. Schon innerhalb weniger Wochen lassen sich schiefe oder hervorstehende Zähne gerade richten und unästhetische Zahnlücken schließen.

Die durchsichtige, herausnehmbare HarmonieSchiene fällt nicht auf und behindert im Alltag weder beim Sprechen noch beim Lachen. Mit der HarmonieSchiene bieten wir Ihnen nicht nur eine effektive, sondern im Gegensatz zu anderen Schienentherapien auch eine kostengünstigere Alternative für Ihre geraden Zähne. Denn: Im Gegensatz zu anderen Systemen wird bei der HarmonieSchiene nur die individuell nötige Anzahl an Schienen gefertigt und berechnet.

Freuen Sie sich auf Ihr schönstes Lächeln – sprechen Sie uns einfach an!

 

Weitere Informationen finden Sie auch unter www.harmonieschiene.de

Fachlabor für Kieferorthopädie GmbH & Co. KG

Berner Straße 23

64037 Frankfurt am Main

Tel. 069 / 71 91 000

Fax 069 / 71 91 00 33

info@harmonieschiene.de





Dr. med. dent. Michaela Hetkamp   Am Neutor 24   46535 Dinslaken   Tel 02064 / 56765    Datenschutz

Entwicklung & inhaltliche Beratung: Denktal.de